Patient will make a violent kicking motion if it is cut.
Patient won’t be able to feel anything or use her leg again if this is severely damaged or cut.
It will bleed a lot, causing blood pressure to drop.
The gluteus maximus muscle will be less flexible without the sciatic nerve.
The worn, or sclerotic, bone at the top of the cup is harder to ream than the bone at the bottom.
The patient complained of more pain in the top part of the hip.
The leg is in an elevated position, making the top part easier to access
Surgeons are academic overachievers and always aim for the top!
It looks a lot cooler.
This extra coverage prevents the most common form of dislocation, which occurs when a patient stands up from a chair.
This will prevent the patient from moving the leg in any way that might damage the plastic liner.
This will protect the metal cup from damaging types of impacts.
From taking too many calcium pills, causing the bone to grow too much.
She was born with abnormal bones that are not smooth.
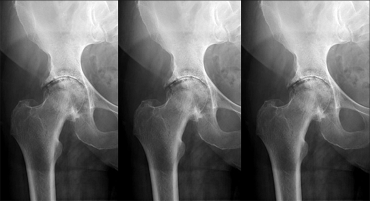
The hip bones compensate for excessive wear by growing osteophytes.
She has a bone disease that causes these growths.
1
2
3
4
5
6
7
8
9
10
11
12
13
14
15
16
Loading...